开春“打野”
挖野菜、春笋
成了不少人的“春季限定”户外活动

然而
清新的山林空气、松软的竹林土壤中
却可能潜藏着侵袭肺部的致命真菌
↓↓↓
杭州富阳的王大伯今年70岁
年轻时曾患肺结核
还因肺脓肿做过肺叶切除手术
近段时间王大伯突然反复咯血
家人和老人都以为是旧病复发
上医院做了CT检查
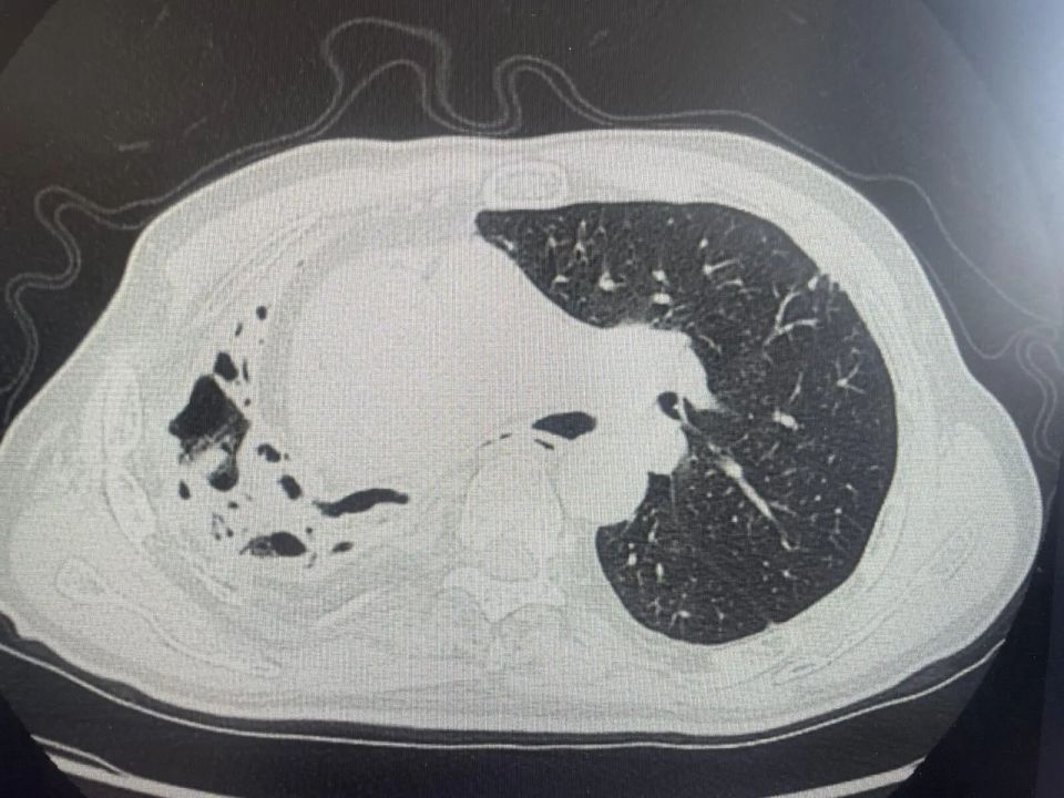
显示王大伯右肺已严重毁损
呈现出典型的蜂窝状改变
肺功能受损严重

肺部CT提示右肺毁损、蜂窝状改变
医生高度怀疑是特殊致病菌感染
随即通过支气管镜肺泡灌洗
结合NGS高通量测序查找病原体
最终
检测结果揪出了真正元凶
——马尔尼菲蓝状菌
一种致死风险较高的深部致病真菌
医生结合流行病学调查与王大伯的生活轨迹
找出了感染源头
原来
老人近期频繁进山挖笋、在田间劳作
过程中吸入了
混杂在尘土、枯叶中的真菌孢子
从而引发严重肺部感染
医生介绍
马尔尼菲蓝状菌
(曾用名:马尔尼菲青霉菌)
是一种广泛存在于自然环境中的
条件致病性真菌
在我国南方及东南亚地区尤为常见
竹鼠是其主要天然宿主
银星竹鼠带菌率高达96%
这种真菌的孢子
就潜藏在竹林土壤、腐烂枯枝、落叶层中
一旦被人体吸入
便会在肺部定植、繁殖
引发致命的深部真菌感染
初期症状多为
咳嗽、胸痛、发热、呼吸困难等
与肺炎、肺结核、肺脓肿极其相似
影像学也无典型特征
极易误诊、漏诊,延误最佳治疗时机
目前
王大伯在区二院接受规范抗真菌治疗后
病情已趋于稳定
后续将在呼吸科门诊定期复查胸部CT
监测肺部恢复情况
医生提醒
进山劳作佩戴口罩
是抵御真菌最简单、最有效的防护
采野菜切勿“凭感觉、图新鲜”
1.精准辨识,拒绝“盲目采”。重点区分可食用野菜与有毒近缘种,如水芹与茴茴蒜、金银花与断肠草等,不认识、难辨别的野菜坚决不采不吃,从源头规避风险;消化系统疾病患者需格外谨慎。
2. 适量食用,拒绝“过量吃”。健康人群也不宜长期、大量单一食用某类野菜,避免刺激消化系统,不迷信野菜“养生”功效。
3. 规范烹饪,拒绝“生或夹生”。马齿苋、荠菜等含草酸高的野菜,需经浸泡、焯水,烹饪时彻底加热,杜绝生食。
4.因人而异,拒绝“盲目尝新”。首次尝试新野菜前,尤其是慢性疾病、过敏体质人群,需先咨询医生或营养师,孕妇、婴幼儿应尽量少吃或不吃野菜。
5.选对场地,拒绝“污染菜”。避开工业区、公路旁、污水河道等污染源区域,此类野菜可能吸附重金属、农药残留;优先选择生态良好、无污染的区域采摘。
转发!提醒!

欢迎投稿至中国医疗健康网,投稿邮箱:ylt913319@163.com。
声明:本网站中,凡注明来源“中国医疗健康网”的文章,版权皆归中国医疗健康网所有,转载请标明出处。